
Songtao Shi, a dental clinician and stem cell researcher at Sun Yat-sen University, discovered various stem cell populations in the gums and teeth, including dental pulp stem cells.
Songtao Shi
In the early 2000s, dental clinician and stem cell researcher Songtao Shi’s six-year-old daughter lost her first tooth. Curious, Shi, then at the University of Pennsylvania, took a closer look at its jelly-like center, or pulp, which would contain connective tissue, nerves, and blood vessels in a tooth attached to the gums. He observed some tissue-like structure even in the shed tooth, which surprised him because it was generally believed that there is no tissue left inside exfoliated baby teeth.
“I said, ‘What is this?’ and brought it to the lab,” recalled Shi, who is now at Sun Yat-sen University. When he sliced the tooth and inspected the sections under a microscope, he was confident he saw cells. Keen to isolate these cells from a fresh tooth next time, Shi prepared a medium to culture them and carried it back home. When his daughter lost her next tooth soon after, he popped it into the medium and drove it back to the lab. There, he cut and digested it to obtain the cells within the dental pulp and incubated these.
Three days later when he peeked at the culture dish containing the cells, he saw significant crowding. “I said, ‘Oh my gosh, [these] must be stem cells.’ Otherwise, they cannot grow [so fast], going so crazy,” said Shi. Although his team had isolated dental pulp stem cells from adult molars just three years prior, characterizing the first stem cell population in teeth, he had not expected that baby teeth would contain similar cells.1
Shi and his team soon confirmed their suspicion: The highly proliferative cells differentiated into a variety of cell types including neurons and adipocytes when coaxed with the right cues, indicating that deciduous teeth contained a population of multipotent stem cells.2

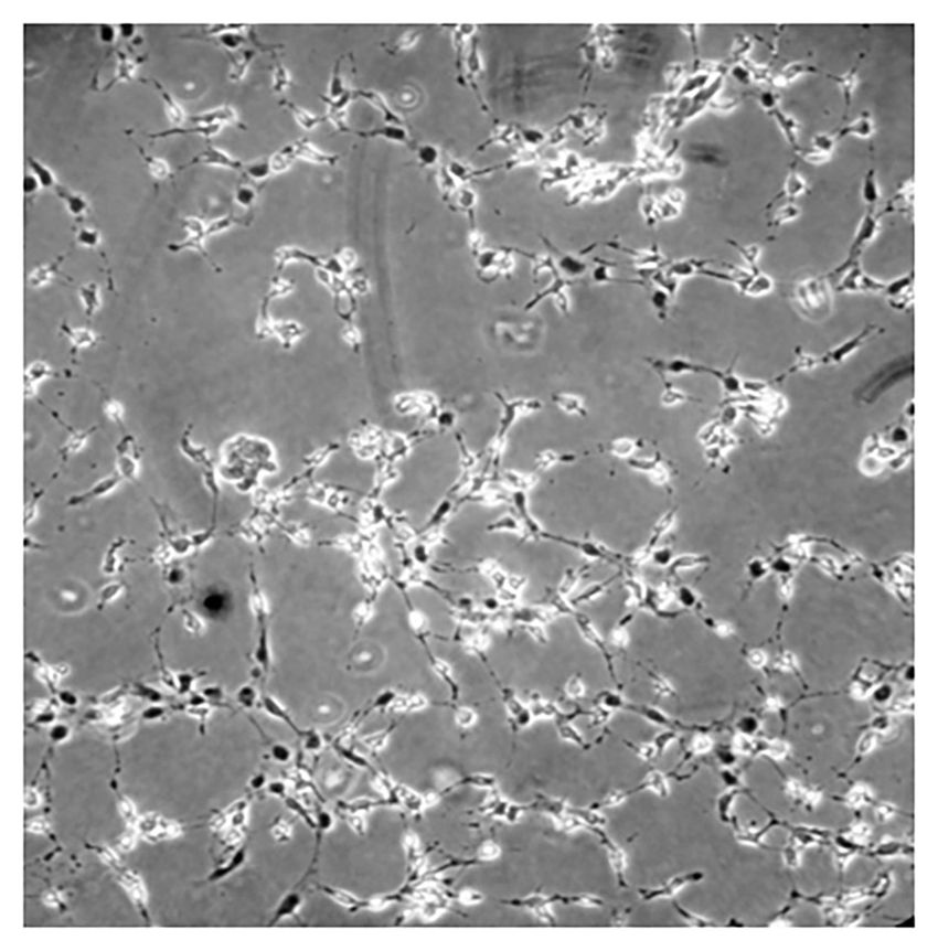
Stem cells in the dental pulp of exfoliated baby teeth exhibit fibroblast-like cell morphology when cultured in vitro.
Songtao Shi
Since then, Shi and his team, along with others in the field, have isolated and characterized various types of stem cell populations from different parts of teeth and gums.3-6 These cells, termed dental stem cells, help in repairing damaged teeth. While these populations differ with respect to their growth rate in culture, differentiation potential, and expression of some stem cell markers, they all exhibit mesenchymal-like stem cell properties and differentiate into cells of mesenchymal lineage. These easily accessible stem cells can be obtained when children’s teeth fall out or during routine dental procedures such as root canals or wisdom teeth extraction. Experiments from animals and early clinical studies have revealed the therapeutic potential of these cells in dental diseases and beyond, including promoting wound healing and treating neurological, cardiovascular, and immune-related diseases.
The Discovery of Dental Pulp Stem Cells Set the Ball Rolling
Scientists have long known that specialized cells in the teeth can form reparative dentin, a calcified tissue, after injury.7 Early in his dental research career in the late 1990s, Shi suspected that a stem cell population residing in adult teeth would aid such injury-induced tissue repair.
To dig deeper, he joined forces with Stan Gronthos, then a stem cell biologist at the National Institutes of Health. In 2000, the duo’s combined expertise in dentistry and stem cell biology helped them isolate dental pulp stem cells from molars. They found that the cells expressed several stem cell markers and could regenerate dentin or dentin-pulp-like structures when transplanted in mice. Shi and his team were able to isolate a large number of dental pulp stem cells from a single tooth, which could be used for repairing dentin in multiple teeth. This discovery was “really exciting,” recalled Shi.
This was soon followed by their discovery of stem cells in shed baby teeth. Gradually, Shi and his team identified a few other dental stem cell populations from various locations: ligaments that connect the tooth to the jaw bone, gums, and the root of the teeth.3,5,6 Over time, several research groups independently validated that dental stem cells could differentiate into a variety of cell types such as osteoblasts, chondrocytes, adipocytes, and neurons.8,9 As removing stem cells from their natural microenvironment could alter these differentiation properties, scientists were looking for alternatives.
Around the mid-2000s, biologist Irina Kerkis at Butantan Institute attempted to use explant culture to organotypically grow the cells in a lab dish in a near-physiological environment. For this, she chose to isolate and grow stem cells from shed teeth, because they are a non-invasively available source of young stem cells.
Working with fallen teeth had another advantage. “I used the dental pulp stem cells from the deciduous teeth from young people, because there is no ethical consideration about these [teeth],” said Kerkis. “They [are] lost naturally.”
Over the next couple of years, Kerkis and her team iterated conditions of the growth medium and isolated a subpopulation of stem cells that expressed markers of embryonic stem cells, Oct-4 and Nanog.10 The researchers optimized conditions such that the cells retained these markers and their stem cell state for over 20 subcultures.
“The explant culture method also helped me to establish a new technology which helped me to produce the cells in high quantities…[such that] a small piece of the tissue can produce a large [number] of cells,” said Kerkis. A company called Cellavita Pesquisas Científicas Ltd. eventually licensed this technology to use it in further clinical studies.
But the journey to successful results was not straightforward. Kerkis and her team spent a significant amount of time trying to better understand the characteristics of these cells. “You should know your cells…You should understand the therapeutic potential of your cells,” said Kerkis. “Only after this, you can apply [the cells in] the clinic.”
Understanding the Properties of Dental Stem Cells
Ana Angelova Volponi, a dental clinician and regenerative dentistry researcher at King’s College London, does just that in her research: She investigates the dental stem cell microenvironment, the molecular cues that trigger these cells to initiate repair mechanisms, and the signals that can enhance these pathways.11
In the mid-2010s, Volponi and her team found that dental stem cells homed to specific niches produced mineralized materials with varied biochemical properties.12 Spectroscopic analyses of material produced by cultured cells revealed that dental pulp stem cells produced minerals resembling calcified cementum covering teeth roots. On the other hand, cells from dental implant sites produced minerals similar to those found in dentin. “So, there are like shared properties [between the cells], but also specificity, depending on [which] tissue has been used as a source,” explained Volponi. This could affect the cells’ clinical applications.

Irina Kerkis researches the properties and therapeutic potential of dental pulp stem cells at Butantan Institute.
Irina Kerkis
Other than biochemical properties of the material produced by dental stem cells, the researchers also studied the niche-specific interactions. “We studied [the cells’] conversation, their language…the pathways involved, the genetic pathways, and the factors which are exchanged between these cells,” said Volponi.
A deeper understanding of this helped the researchers generate tooth organoids using appropriate cues and supporting material.13 These mini teeth in lab dishes not only offer an in vitro model to better study tooth development but can also have potential applications in restoring damaged dental structures.
But studying these cells has implications beyond just the oral environment, according to Volponi. “Because they have the mesenchymal stem cell properties, the knowledge that we can gain in cell behavior as mesenchymal stem cells opens a big…window of knowledge on mesenchymal stem cells in general,” she explained.
Therapeutic Potential of Dental Stem Cells Beyond the Oral Environment
As soon as Shi's team identified dental stem cells, he realized the potential therapeutic applications, especially in regenerating dental pulp, which can get damaged due to decay or injury. Since then, a number of scientists, including Shi, have extensively tested human dental stem cells to regenerate damaged dental pulp in animal models like mice, rats, pigs, and dogs.14-17
“After this 20-some years [of] effort, we not only understand the biological character of the stem cells, but also we put cells into the patient,” said Shi. “Worldwide, at least more than 50 clinical trials are going on [using] dental stem cells.”
I said, ‘Oh my gosh, [these] must be stem cells.’ Otherwise, they cannot grow [so fast], going so crazy.
—Songtao Shi, Sun Yat-sen University
In one of these trials, Shi and his colleagues recruited young people with traumatic pulp injuries and transplanted stem cells from their own shed teeth.18 This resulted in the regeneration of dental pulp containing blood vessels and nerves, complete with regaining of sensation.
In addition to such autologous transplantations, Kerkis noted that young stem cells shed in baby teeth can also be used to rescue diseases in older people. She and her team recently successfully tested the safety and efficacy of such an allogeneic dental stem cell-based therapy in patients with Huntington’s disease in a Phase 2 clinical trial.19

Dental pulp stem cells express Nestin (green), a marker of neural stem/progenitor cells. Nuclei are marked in blue.
Irina Kerkis
Separately, Shi and his team found that treating diabetic people intravenously with dental stem cells from healthy donors is safe and effective in improving glucose metabolism and islet function.20
Even as clinical trials are underway, preclinical studies have provided more insights into the mechanisms underlying the therapeutic potential of dental stem cells, especially in treating diseases outside of the oral environment. Extensive investigations hinted that the cells secrete a broad range of bioactive molecules that modulate the activity of target cells in a paracrine manner: The secretome of dental stem cells promoted wound healing in mice with diabetic skin injuries, diminished symptoms of lupus in mice, and reduced cardiac ischemic injury in mice.21-23
The oral environment is a treasure trove of different types of stem cellsThe teeth and gums contain easily-accessible mesenchymal stem cells that can help treat conditions beyond dental diseases.Scientists isolated and characterized several stem cell populations that reside in specialized tissue within gums and baby and adult teeth. These cells can be isolated when children lose their teeth, or during routine dental procedures such as root canals or wisdom tooth extractions. They express markers of mesenchymal stem cells and are multipotent: They can differentiate into different types of cells when coaxed with appropriate molecular cues. Emerging evidence indicates that the therapeutic properties of dental stem cells are due to the effector molecules they secrete. ![]() modified from © istock.com, AttoStock, Viktoria Ruban, S-S-S; designed by erin lemieux 1) The dental pulp in permanent teeth houses dental pulp stem cells (DPSCs); these were the first dental stem cell population discovered in 2000, and scientists have observed that under appropriate conditions, these show markers similar to those expressed by embryonic stem cells. 2) The ligaments connecting permanent teeth and gums contain cells called periodontal ligament stem cells (PDLSCs). These can help in the regeneration of inflamed or infected periodontal tissues that support the teeth, including jaw bone, gums, periodontal ligaments, and the calcified tissue that cover teeth roots. They can also be used to treat non-dental conditions like neural diseases. 3) Gingival mesenchymal stem cells (GMSCs) reside in the gums surrounding teeth. These cells secrete factors with potential for immune regulation and tissue regeneration, making the cells important for treatment of various diseases. 4) It takes three to five years for the roots of newly-erupted permanent teeth to develop completely. The roots of such developing teeth house cells called stem cells from apical papilla (SCAP), which have important applications in regenerative dentistry. 5) The dental pulp of fallen baby teeth contains cells called stem cells from human exfoliated deciduous teeth (SHED). Compared to dental pulp stem cells from adult teeth, SHED exhibit a higher proliferation rate, differentiation potential, and mineralization capacity when transplanted in vivo. ![]() modified from © istock.com, AttoStock, S-S-S, Olha Pohrebniak, juliawhite, Olga Sova, Sakurra, Taras Dubov, ttsz; shutterstock.com, artsuvari designed by Erin Lemieux 6) Under appropriate culture conditions, multipotent dental stem cells can give rise to various cell types originating from each of the three germ layers, revealing their differentiation capability with potential applications in regenerative medicine. Scientists are also researching the potential of dental stem cell-derived differentiated cells for therapy. 7) Early studies indicated that dental stem cells’ therapeutic effects stemmed from their migration to the site of tissue injury and differentiation into the appropriate cell types. However, emerging studies suggest that these cells exert therapeutic effects by releasing tissue-regenerating factors into their secretome, which modulate the phenotype of target cells. |
Dental Stem Cell Banking: Challenges and Clinical Regulations
Despite being one of the most accessible sources of multipotent stem cells and the promising preclinical and early clinical data, therapeutic applications of dental stem cells remain relatively rare. According to Vitor Neves, a periodontist at the University of Sheffield, there are a couple of reasons behind this.
You should know your cells…You should understand the therapeutic potential of your cells. Only after this, you can apply [the cells in] the clinic.
—Irina Kerkis, Butantan Institute
“Currently, the regulatory system to stem cell banking and using [them] is very poor,” said Neves. The lack of standardized protocols and regulatory guidelines means that using dental stem cells for treatment is prohibited in several countries such as the US and Singapore; even harvesting dental stem cells is prohibited in the latter.24
The other problem, according to Neves, is that dental stem cell banking has not gained as much popularity even in places where it is allowed. While soon-to-be parents are willing to shell out money for the once-in-a-lifetime opportunity to bank their infants’ cord blood for stem cells, Neves worries that they might hesitate to do the same for dental stem cells. Moreover, extensive studies over the past many decades have highlighted that stem cells such as those from bone marrow can save lives, but similar evidence for dental stem cells is still emerging, he noted. “It's very difficult to convince someone to invest tons of money on the procedures [that] are not beneficial [or] lifesaving,” he said.

Culturing dental pulp stem cells under neurogenic conditions induces morphological changes characterized by elongated cell bodies and neurite-like extensions, consistent with a neuron-like phenotype.
Irina Kerkis
However, with increasing collaborations between academic and industrial scientists, Neves hopes that dental stem cells can be used to their full potential. “Dentistry has barely [gotten] new treatments over the past three, four decades. Materials have changed, but we drill teeth, we clean teeth, we extract teeth, and we place titanium screws in the body,” he said. “So, we need new things, and if we have funding from councils and also funding from [the] industry, we can promote this interesting [avenue].”
Kerkis agreed that scientific collaborations are the way forward. “We are only in the beginning of the understanding of the stem cells,” she said. “We should try to work together with the scientists and to provide more new data about the cells, about the biology of the cells, in order to make them [a] therapeutic tool.”
- Gronthos S, et al. Postnatal human dental pulp stem cells (DPSCs) in vitro and in vivo. Proc Natl Acad Sci USA. 2000;97(25):13625-13630.
- Miura M, et al. SHED: Stem cells from human exfoliated deciduous teeth. Proc Natl Acad Sci USA. 2003;100(10):5807-5812.
- Seo BM, et al. Investigation of multipotent postnatal stem cells from human periodontal ligament. Lancet. 2004;364(9429):149-155.
- Handa K, et al. Progenitor cells from dental follicle are able to form cementum matrix in vivo. Connect Tissue Res. 2002;43(2-3):406-408.
- Sonoyama W, et al. Mesenchymal stem cell-mediated functional tooth regeneration in swine. PLoS One. 2006;1(1):e79.
- Zhang Q, et al. Mesenchymal stem cells derived from human gingiva are capable of immunomodulatory functions and ameliorate inflammation-related tissue destruction in experimental colitis. J Immunol. 2009;183(12):7787-7798.
- Seltzer S. Reparative dentinogenesis. Oral Surg Oral Med Oral Pathol. 1959;12(5):595-602.
- Koyama N, et al. Evaluation of pluripotency in human dental pulp cells. J Oral Maxillofac Surg. 2009;67(3):501-506.
- Sramkó B, et al. The wisdom in teeth: Neuronal differentiation of dental pulp cells. Cell Reprogram. 2023;25(1):32-44.
- Kerkis I, et al. Isolation and characterization of a population of immature dental pulp stem cells expressing OCT-4 and other embryonic stem cell markers. Cells Tissues Organs. 2006;184(3-4):105-116.
- Zhang X, et al. Oral stem cells, decoding and mapping the resident cells populations. Biomater Transl. 2022;3(1):24-30.
- Volponi AA, et al. Composition of mineral produced by dental mesenchymal stem cells. J Dent Res. 2015;94(11):1568-1574.
- Zhang X, et al. Generating tooth organoids using defined bioorthogonally cross-linked hydrogels. ACS Macro Lett. 2024;13(12):1620-1626.
- Huang GTJ, et al. Stem/progenitor cell-mediated de novo regeneration of dental pulp with newly deposited continuous layer of dentin in an in vivo model. Tissue Eng Part A. 2010;16(2):605-615.
- Kuang R, et al. Nanofibrous spongy microspheres for the delivery of hypoxia-primed human dental pulp stem cells to regenerate vascularized dental pulp. Acta Biomater. 2016;33:225-234.
- Kodonas K, et al. Experimental formation of dentin-like structure in the root canal implant model using cryopreserved swine dental pulp progenitor cells. J Endod. 2012;38(7):913-919.
- Iohara K, et al. Regeneration of dental pulp after pulpotomy by transplantation of CD31-/CD146- side population cells from a canine tooth. Regen Med. 2009;4(3):377-385.
- Xuan K, et al. Deciduous autologous tooth stem cells regenerate dental pulp after implantation into injured teeth. Sci Transl Med. 2018;10(455):eaaf3227.
- Fernandes JMS, et al. Phase II trial of intravenous human dental pulp stem cell therapy for Huntington's disease: A randomized, double-blind, placebo-controlled study. Stem Cell Res Ther. 2025;16(1):432.
- Li W, et al. Therapeutic potential of stem cells from human exfoliated deciduous teeth infusion into patients with type 2 diabetes depends on basal lipid levels and islet function. Stem Cells Transl Med. 2021;10(7):956-967.
- Shi Q, et al. GMSC-derived exosomes combined with a chitosan/silk hydrogel sponge accelerates wound healing in a diabetic rat skin defect model. Front Physiol. 2017;8:904.
- Sonoda S, et al. Targeting of deciduous tooth pulp stem cell-derived extracellular vesicles on telomerase-mediated stem cell niche and immune regulation in systemic lupus erythematosus. J Immunol. 2021;206(12):3053-3063.
- Yamaguchi S, et al. Dental pulp-derived stem cell conditioned medium reduces cardiac injury following ischemia-reperfusion. Sci Rep. 2015;5:16295.
- Yamada S, et al. Production and biobanking of dental stem cells for clinical applications in regenerative dentistry: Current practices and future perspectives-A narrative review. J Dent. 2025;161:105934.


















